Tẩy trắng răng
Tẩy trắng răng
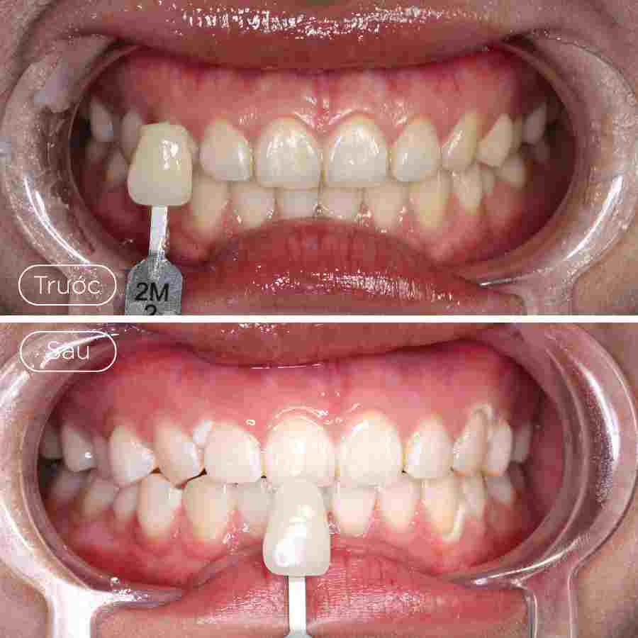
là một kỹ thuật nha khoa thẩm mỹ giúp cải thiện màu sắc răng, làm trắng răng bị ố vàng hoặc đổi màu. Phương pháp này sử dụng thuốc tẩy trắng chuyên dụng (Hydrogen Peroxide hoặc Carbamide Peroxide) kết hợp với ánh sáng Laser/LED để tạo ra phản ứng oxy hóa – khử, cắt đứt các chuỗi phân tử gây màu trong men răng và ngà răng, không ảnh hướng đến men răng, không lo đau hay ê buốt khi tẩy trắng.
AI nên tẩy trắng răng ?
- Người có răng xỉn màu, ố vàng do thói quen uống trà, cà phê, ...
- Người có răng đổi màu theo tuổi tác, màu răng không còn sáng bóng.
- Người cần sự tự tin khi giao tiếp, trong công việc, khi sự kiện đặc biệt.
Sự thật thú vị
Trái cây có thể tẩy trắng tự nhiên:
Một số loại trái cây như dâu tây và dứa có chứa enzyme tự nhiên và axit malic, có thể giúp làm sáng màu răng một cách tự nhiên. Dâu tây có chứa axit malic, còn dứa chứa enzyme bromelain, cả hai đều có thể làm sạch mảng bám trên răng. Tuy nhiên, hiệu quả chỉ ở mức độ nhẹ và không thể thay thế các phương pháp chuyên nghiệp.
Lợi ích tẩy trắng răng
- Dễ dàng thực hiện và tối ưu thời gian: Tẩy trắng răng có thể được thực hiện tại nha khoa hoặc tại nhà với các sản phẩm tẩy trắng do nha sĩ khuyến nghị. Quy trình tại nha khoa thường có hiệu quả nhanh chóng, trong khi các sản phẩm tại nhà có thể mang lại kết quả dần dần nhưng vẫn tối ưu hiệu quả.
- Tẩy trắng an toàn: Khi được thực hiện dưới sự hướng dẫn của bác sĩ hoặc bằng các sản phẩm đã được chứng nhận, tẩy trắng răng là một quy trình an toàn, hiệu quả và gần như không có tác dụng phụ.
- Khả năng tùy chỉnh: Quy trình tẩy trắng răng có thể được điều chỉnh để phù hợp với nhu cầu từng cá nhân, từ việc chọn nồng độ thuốc tẩy phù hợp đến việc chọn phương pháp tẩy trắng (tại nha khoa hay tại nhà). Vì vậy tẩy trắng răng là phương pháp khá phổ biến để cải thiện màu sắc răng.
QUY TRÌNH TẨY TRẮNG RĂNG
- 1. Khám và tư vấn: Bác sĩ sẽ khám và kiểm tra chi tiết về tình trạng răng miệng của bạn.
- 2. Lập kế hoạch điều trị: Dựa trên kết quả khám, bác sĩ sẽ thảo luận về các phương pháp tẩy trắng và tư vấn phương pháp phù hợp nhất với nhu cầu và tình trạng của bạn.
- 3. Chuẩn bị: Răng sẽ được vệ sinh sạch để loại bỏ mảng bám và cao răng, giúp thuốc tẩy trắng có thể tiếp xúc hiệu quả hơn với bề mặt răng.
- 4. Thực hiện Tẩy Trắng
- - Tẩy trắng tại nha khoa: Trong quá trình tẩy trắng, bác sĩ sẽ áp dụng các dụng cụ hoặc gel bảo vệ mô mềm để đảm bảo nướu và các mô mềm trong miệng không tiếp xúc với thuốc tẩy trắng.
- Sau khi bác sĩ sẽ phủ một lớp thuốc tẩy trắng lên bề mặt răng, bác sĩ sẽ được kích hoạt thuốc tẩy bằng đèn tẩy trắng. Quy trình này sẽ được lặp lại 3 lần để đạt kết quả mong muốn.
- - Tẩy trắng tại nhà: Bạn sẽ được cung cấp bộ sản phẩm tẩy trắng, thường bao gồm gel tẩy trắng và khay đeo cá nhân hóa được sản xuất riêng cho bạn . Gel được áp dụng vào khay và đeo theo hướng dẫn của bác sĩ. Tẩy trắng tại nhà thường yêu cầu sử dụng hàng ngày trong khoảng 2 tuần để đạt được kết quả tối ưu.
- 5. Chăm sóc Sau Tẩy Trắng: Bác sĩ sẽ hướng dẫn bạn về cách chăm sóc răng miệng sau khi tẩy trắng, bao gồm việc tránh thực phẩm, đồ uống có thể gây ố màu và duy trì thói quen vệ sinh răng miệng tốt. Bạn có thể cần tái khám để theo dõi kết quả và kiểm tra lại.
- 6. Duy trì và Chăm sóc sau tẩy trắng: Để duy trì màu sắc trắng sáng của răng, bạn nên tiếp tục chăm sóc răng miệng định kỳ và hạn chế các thực phẩm, đồ uống có thể gây ố màu như cà phê, trà và rượu vang đỏ.
Chi phí dịch vụ tấy trắng răng
| DANH MỤC | VND | ĐƠN VỊ |
| TẨY TRẮNG RĂNG | ||
| Tẩy trắng tại phòng nha | 2.000.000 | lần |
Tẩy trắng răng tại nhà (1 cặp máng + 02 ống thuốc) | 800.000 | lần |
Tẩy trắng tại phòng nha + tại nhà ( 1 cắp máng + 2 ống thuốc) | 2.500.000 | lần |
| Tẩy trắng chết tuỷ | 800.000 | lần |
Câu hỏi Thường gặp
- Tẩy trắng răng có đau không?
- Hầu hết mọi người không cảm thấy đau khi tẩy trắng răng, nhưng một số có thể cảm thấy nhạy cảm hoặc khó chịu nhẹ. Cảm giác này sẽ giảm dần trong vài ngày sau tẩy trắng răng. Nếu bạn cảm thấy đau hoặc khó chịu nghiêm trọng bạn nên tham khảo thêm lại với bác sĩ.
- Tẩy trắng răng có thể thực hiện bao nhiêu lần?
- Tẩy trắng răng có thể thực hiện nhiều lần, nhưng bạn nên tham khảo ý kiến bác sĩ để đảm bảo an toàn và hiệu quả. Thực hiện quá thường xuyên có thể gây nhạy cảm răng.
- Tẩy trắng răng có ảnh hưởng đến sức khỏe răng miệng không?
- Khi thực hiện đúng cách và dưới sự giám sát của bác sĩ, tẩy trắng răng không gây hại cho sức khỏe răng miệng. Tuy nhiên, nếu không được thực hiện đúng, có thể gây kích ứng hoặc nhạy cảm.
Phản hồi khách hàng
“Là người uống cà phê, trà mỗi ngày, anh từng mất tự tin vì hàm răng ố vàng. Tình cờ thấy Nha Khoa KEN trên Facebook, anh ghé thử… và bất ngờ từ không gian rộng rãi, sạch sẽ đến sự tận tâm của bác sĩ.”
Anh Dũng
Khách hàng
4.98 Đánh giá từ khách hàng
Phản hồi khách hàng
“Thật ra là em cũng đi nhiều chỗ rồi, nhưng ở Nha Khoa KEN thì em thấy phòng khám sạch sẽ, thiết bị hiện đại, bác sĩ tư vấn kỹ .
Bác sĩ và các anh chị nhân viên rất chu đáo, các bạn thực sự quan tâm tới cảm giác của khách.”
Thanh Thương
Khách hàng
Bảng giá implant
Bảng giá niềng răng
Bảng giá nha khoa thẩm mỹ
Bảng giá nha khoa tổng quát
Bảng giá nha khoa trẻ em