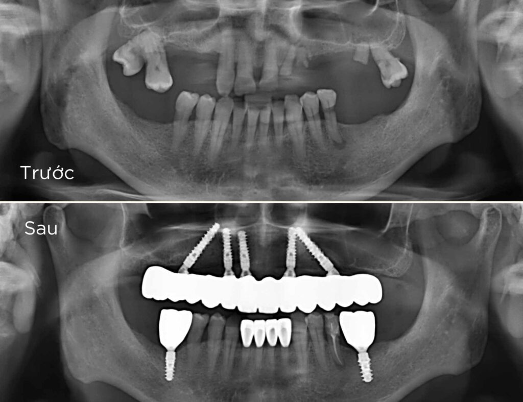
Trồng Implant toàn hàm
Trồng răng Implant toàn hàm (All-on-X)
là phương pháp phục hình tiên tiến, sử dụng 4-6 trụ Implant Titanium cấy vào xương hàm để làm nền tảng vững chắc, nâng đỡ 12-14 răng sứ bên trên. Phương pháp này được thiết kế cho những người mất nhiều răng, sắp mất toàn bộ hoặc đã mất hết răng toàn hàm, mang lại khả năng ăn nhai gần như răng thật, thẩm mỹ tự nhiên và độ bền lâu dài.
- All-On-4: Cấy 4 trụ Implant (2 trụ ở vùng răng trước, 2 trụ ở vùng răng sau), phù hợp cho hàm dưới hoặc trường hợp xương hàm còn tốt.
- All-On-6: Cấy 6 trụ Implant (4 trụ ở vùng răng trước, 2 trụ ở vùng răng sau), lý tưởng cho trường hợp xương hàm yếu, cần độ ổn định cao hơn.
Ai nên trồng răng implant toàn hàm
- Người mất toàn bộ răng: Đang sử dụng hàm tháo lắp nhưng bất tiện trong ăn uống và giao tiếp.
- Người mất nhiều răng và các răng còn lại lung lay: Muốn giải pháp cố định, thoải mái hơn hàm tháo lắp.
- Người có răng bị viêm nha chu nặng: Răng lung lay, gây khó khăn khi ăn nhai, cần phục hình toàn diện.
Sự thật thú vị
Hệ thống cấy ghép All-on-X, thường được gọi là All-on-4 hoặc All-on-6, là một kỹ thuật tiên tiến trong nha khoa phục hình toàn hàm với những điểm thú vị :
Giảm số lượng implant cần thiết: Kỹ thuật này sử dụng 4, 5, 6 hoặc 8 implant để hỗ trợ toàn bộ hàm răng thay vì mỗi răng một implant, giúp tiết kiệm chi phí và thời gian phẫu thuật.
Sử dụng tối đa xương của bạn: VỊ trí implant được thiết kế để tận dụng tối đa xương hàm còn lại của bạn. GIảm chi phí ghép xương và tối ưu thời gian lành vết thương.
LỢI ÍCH trồng IMPLANT TOÀN HÀM - ALL- ON - X
- Tiết kiệm chi phí: All-on-X dùng ít trụ hơn so với cấy từng răng, giảm chi phí đáng kể.
- Phục hình tức thì: Răng tạm được gắn ngay sau cấy ghép, hỗ trợ ăn nhai ngay lập tức.
- Thẩm mỹ cao: Răng sứ được thiết kế giống răng thật, mang lại nụ cười tự tin.
- Duy trì cấu trúc khuôn mặt: Ngăn tiêu xương hàm, giữ khuôn mặt tự nhiên, không bị hóp.
- Ổn định, bền vững: Hàm răng cố định chắc chắn, cho cảm giác tự nhiên và ăn nhai hiệu quả.
QUY TRÌNH trồng IMPLANT TOÀN HÀM
- 1. Khám và tư vấn: Bác sĩ sẽ khám và tư vấn chi tiết về tình trạng răng miệng của bạn, đánh giá liệu bạn có phù hợp để cấy ghép implant hay không.Chụp X-quang và lập kế hoạch điều trị: Chụp X-quang để xác định cấu trúc xương hàm, từ đó lập kế hoạch cấy ghép chi tiết.
- 2. Chụp X-quang và lập kế hoạch điều trị: Chụp X-quang để xác định cấu trúc xương hàm, từ đó lập kế hoạch cấy ghép chi tiết.
- 3. Xét nghiệm máu: xét nghiệm máu để kiểm tra tình trạng đông máu cũng như các chỉ số đường huyết để đảm bảo sức khỏe ổn định khi thực hiện phẫu thuật. Nếu bạn có các bệnh mãn tính khác như tim mạch, huyết áp… vui lòng thông tin kĩ trước đến bác sĩ để được tầm soát chu đáo.
- 4. Lên kế hoạch và thiết kế máng hướng dẫn cắm implant 3D: Tại nha khoa Ken bạn có thể an tâm là implant sẽ được đặt ở vị trí đúng theo 3 chiều không gian - để có thể chịu lực ăn nhai tối ưu như răng thật. Các trụ implant sẽ được đặt vào trong xương qua máng hướng dẫn phẫu thuật được thiết kế trong phần mềm kỹ thuật số đảm bảo an toàn và độ chính xác cao.
- 5. Phẫu thuật đặt implant: Đặt các trụ implant vào xương qua máng hướng dẫn phẫu thuật kỹ thuật số và được tiến hành bởi bác sĩ chuyên khoa.
- 6. Phục hình tạm trên implant toàn hàm ALL-ON-X: Trong các trường hợp bệnh nhân mất răng toàn hàm phục hình tạm được gắn cho bệnh nhân ngay sau khi phẫu thuật.
- 7. Tái khám sau đặt implant: Sự lành thương và tích hợp xương, thường khoảng từ 3 đến 6 tháng. Khách hàng phải đến tái khám theo chỉ định của bác sĩ tùy theo trường hợp cụ thể
- 8. Phục hình sứ trên implant toàn hàm ALL-ON-X: Sau khi các trụ implant đã tích hợp trong xương hàm, phục hình tạm trước đó sẽ được thay thế bời phục hình sứ.
- 9. Tái khám định kỳ: Sau khi đã hoàn thiện phục hồi răng mất, khách hàng phải duy trì tái khám định kỳ mỗi 6 tháng để duy trì tuổi thọ của implant Tái khám định kỳ: Sau khi đã hoàn thiện phục hồi răng mất, khách hàng phải duy trì tái khám định kỳ mỗi 6 tháng để duy trì tuổi thọ của implant
CHI PHÍ DỊCH VỤ CẤY GHÉP IMPLANT TOÀN HÀM
| DANH MỤC | VND | ĐƠN VỊ |
| IMPLANT ALL-ON-4 | ||
| Implant toàn hàm Hàn Quốc | 84.000.000 | hàm |
| Implant toàn hàm Mỹ | 130.000.000 | hàm |
| Impalnt toàn hàm Thụy Sĩ | 190.000.000 | hàm |
| Implant toàn hàm bán cố định HQ*1 2 trụ/ bi | 35.000.000 | hàm |
| Implant toàn hàm bán cố định HQ*1 2 trụ/ thanh | 42.000.000 | hàm |
Câu hỏi Thường gặp
- Implant ALL-ON-X là gi?
- Quá trình cấy ghép implant được thực hiện dưới sự gây tê cục bộ, do đó bạn sẽ không cảm thấy đau trong suốt quá trình phẫu thuật. Sau phẫu thuật, có thể có một chút khó chịu nhưng sẽ giảm dần sau vài ngày.
- Cấy implant toàn hàm ALL-ON-X có đau không?
- Cấy ghép implant toàn hàm All-on-X có thể hơi khó chịu, nhưng cảm giác khó chịu thường được kiểm soát tốt nhờ kỹ thuật vô cảm bằng thuốc tê. Sau điều trị bạn sẽ được kê thuốc uống giúp giảm sưng hoặc khó chịu tối ưu nhất.
- Các chống chỉ định cấy ghép implant?
- Cấy ghép implant có thể không phù hợp khi các bệnh lý toàn thân (VD: tiểu đường, rối loạn miễn dịch,các vấn đề về tâm lý) không được kiểm soát tốt. Các bệnh nhân hút thuốc lá quá nhiều - ảnh hưởng xấu đến quá trình lành thương và sức khỏe nướu. Các bệnh nhân có tiền sử xạ trị trong vòng 6 tháng cũng là một trong những chống chỉ định.
Phản hồi khách hàng
“Chú mất răng lâu năm rồi ăn uống khó khăn. Sau được con gái dắt đi làm, chú thì cũng sợ đau này kia. Nhưng tới nha khoa KEN thấy không gian, thiết bị này kia chú cũng yên tâm. Bác sĩ làm cho chú bộ răng rất êm, chú thấy rất hài lòng”
Dương Hán Mến
Khách hàng
4.98 Đánh giá từ khách hàng
Phản hồi khách hàng
“Quá trình làm thì cô thấy không đau, nhẹ nhàng. Làm xong thì cô ăn uống bình thường, giao tiếp cô cũng tự tin hơn, cô thấy rất tốt“
Nguyễn Ngọc An
Khách hàng
4.98 Đánh giá từ khách hàng
Bảng giá implant
Bảng giá niềng răng
Bảng giá nha khoa thẩm mỹ
Bảng giá nha khoa tổng quát
Bảng giá nha khoa trẻ em