Trồng Imlant 1 răng
Trồng răng Implant 1 răng
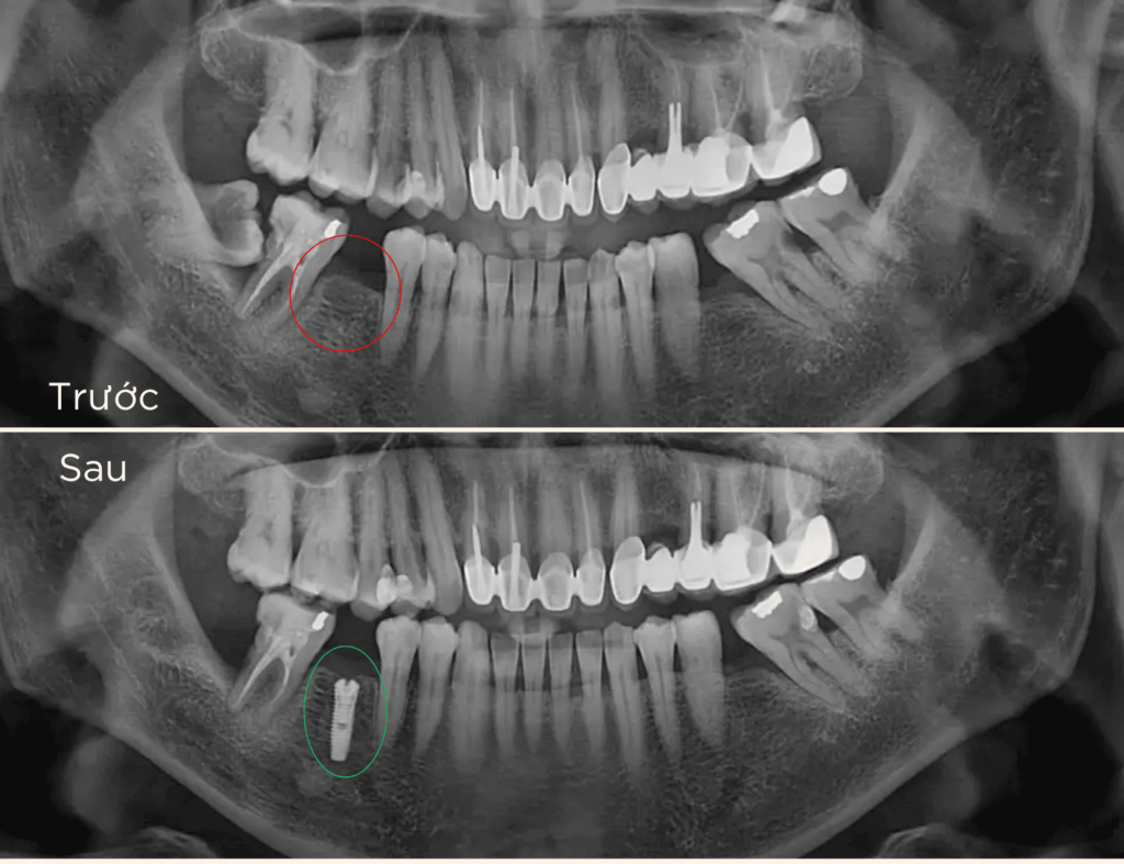
là phương pháp phục hồi răng mất tiên tiến, sử dụng trụ chụ chân răng nhân tạo – Implant từ titanium cấy vào xương hàm để thay thế chân răng đã mất. Sau đó, một mão răng sứ được gắn lên trụ, tạo ra chiếc răng mới với hình dáng và chức năng giống như răng thật.
Phương pháp này an toàn, tương thích sinh học cao và mang lại kết quả bền vững.
Ai Nên Trồng Răng Implant 1 Răng?
- Mất 1 răng gần đây : Muốn khôi phục lại để ăn nhai thoải mái, giữ nụ cười đẹp và tự tin.
- Mất răng lâu năm: Răng xung quanh xô lệch, sai khớp cắn, ảnh hưởng ăn nhai và thẩm mỹ.
- Mất răng lâu năm: Răng xung quanh xô lệch, sai khớp cắn, ảnh hưởng ăn nhai và thẩm mỹ.
- Răng ké răng mất yêu - lung lay : Không đủ điều kiện làm cầu răng sứ.
Sự thật thú vị
Lợi Ích Của Trồng Răng Implant 1 Răng
- Ngăn răng kế cận dịch chuyển: Implant giữ các răng lân cận đúng vị trí, tránh xô lệch hoặc sai khớp cắn, giúp bảo vệ sức khỏe răng miệng lâu dài.
- Bảo vệ răng kế cận: Không cần mài hay tác động răng bên cạnh như cầu răng sứ, giữ nguyên vẹn cấu trúc răng thật.
- Ngăn tiêu xương hàm: Trụ Implant kích thích xương hàm, ngăn ngừa tình trạng tiêu xương, giữ khuôn mặt trẻ trung.
- Khôi phục ăn nhai tự nhiên: Răng Implant hoạt động như răng thật, giúp bạn ăn uống thoải mái, cải thiện chất lượng cuộc sống và hỗ trợ tiêu hóa tốt hơn.
- Độ bền vượt trội: Với việc chăm sóc đúng cách, răng Implant có thể bền vững suốt đời, là giải pháp lâu dài, tiết kiệm chi phí.
QUY TRÌNH trồng IMPLANT 1 răng
CHI PHÍ DỊCH VỤ trồng IMPLANT 1 RĂNG
| DANH MỤC | VND | ĐƠN VỊ |
| IMPLANT ĐƠN LẺ | ||
| Implant Hàn Quốc | 14.000.000 | răng |
| Implant Mỹ | 19.000.000 | răng |
| Implant Thụy Sĩ | 30.000.000 | răng |
Chi phí Dịch Vụ Cấy Ghép Implant 1 Răng
- Implant Hàn Quốc: 15.000.000 VND - 20.000.000 VND/răng
- Implant Mỹ: 25.000.000 VND - 30.000.000 VND/răng
- Implant Nobel Biocare (Thụy Sĩ): 30.000.000 VND - 40.000.000 VND/răng
- Giảm giá 10% cho khách hàng đặt lịch hẹn trực tuyến.
- Khám và tư vấn miễn phí lần đầu tiên.
- Gói trả góp lãi suất 0% cho các dịch vụ thẩm mỹ lớn.
Ưu đãi đặc biệt
- Giảm giá 10% cho khách hàng đặt lịch hẹn trực tuyến.
- Khám và tư vấn miễn phí lần đầu tiên.
- Gói trả góp lãi suất 0% cho các dịch vụ thẩm mỹ lớn.
Câu hỏi Thường gặp
- Cấy ghép implant có đau không?
- Quá trình cấy ghép implant được thực hiện dưới sự gây tê cục bộ, do đó bạn sẽ không cảm thấy đau trong suốt quá trình phẫu thuật. Sau phẫu thuật, có thể có một chút khó chịu nhưng sẽ giảm dần sau vài ngày.
- Thời gian lành thương sau cấy ghép implant là bao lâu?
- Thời gian lành thương sau thủ thuật thường kéo dài khoảng 7 đến 10 ngày. Tuy nhiên, thời gian tích hợp xương xung quanh implant thường mất từ 3 đến 6 tháng, tùy thuộc vào tình trạng xương hàm và sức khỏe tổng thể của bạn bạn đầu.
- Tôi có thể ăn uống bình thường sau khi cấy ghép implant không?
- Sau khi cấy ghép, bạn nên tuân thủ chế độ ăn uống mềm trong vài ngày đầu. Sau thời gian lành thương ban đầu, bạn có thể ăn uống bình thường.
Phản hồi khách hàng
“Giờ thì chú cười thoải mái, ăn nhai chắc chắn, không còn phải kiêng khem gì nữa. Cảm giác như chưa từng mất răng. Chú chấm Nha Khoa KEN điểm 10 luôn! Vừa sạch sẽ, hiện đại, lại có bác sĩ tận tình, chuyên môn cao.”
Nguyễn Phước Vĩnh
Khách hàng
4.98 Đánh giá từ khách hàng
Phản hồi khách hàng
“Sau khi chị cắm implant tại KEN, chị thấy giá cả phải chăng, cắm implant không đau. Có hẹn giờ trước nên không phải chờ đợi, không mất thời gian – chị rất thích ở điểm này!”
Phan Dương Yến
Khách hàng
4.98 Đánh giá từ khách hàng
Phản hồi khách hàng
“Tới nha khoa KEN làm chị thấy làm xong ok, ăn uống bình thường, chị thấy đẹp ra nhiều hơn và cười nhiều hơn, chị chấm cho KEN 11 điểm luôn” – chị Kim Liên chia sẻ thật lòng sau trải nghiệm.”
Kim Liên
Khách hàng
Bảng giá implant
Bảng giá niềng răng
Bảng giá nha khoa thẩm mỹ
Bảng giá nha khoa tổng quát
Bảng giá nha khoa trẻ em