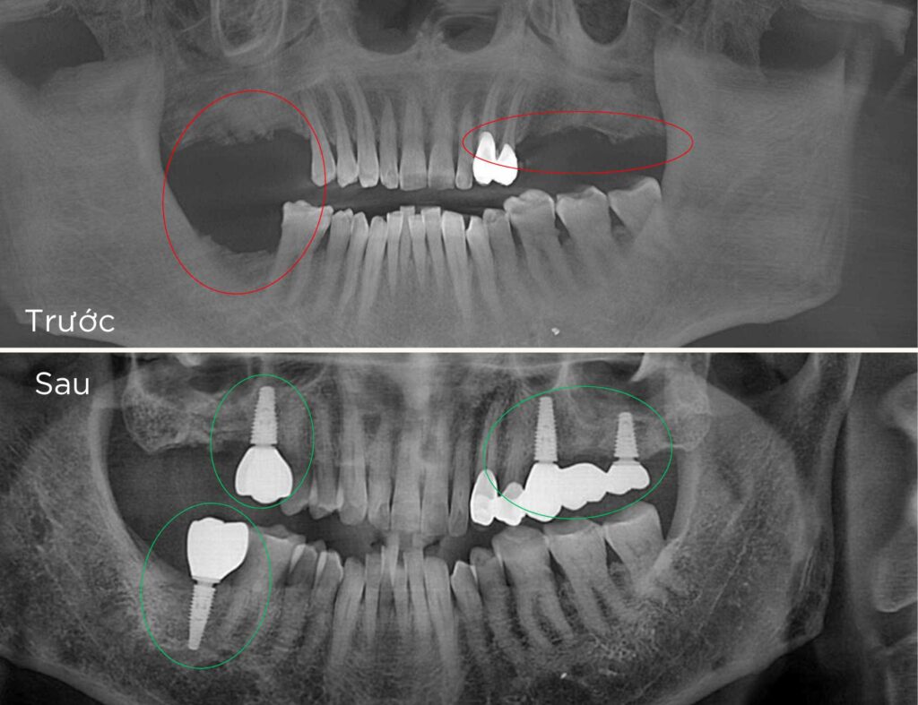
Trồng Implant vài răng
Trồng răng Implant vài răng
để phục hồi răng và tái tạo hình dáng của các răng đã mất. Là giải pháp tối ưu cho những người mất từ hai răng trở lên, giúp khôi phục khả năng ăn nhai, cải thiện thẩm mỹ và ngăn ngừa các vấn đề do mất răng gây ra, như tiêu xương hàm hay lệch khớp cắn.
Ai nên trong răng implant nhiều răng
- Người vừa mất răng: Muốn phục hồi ngay để duy trì chức năng ăn nhai và thẩm mỹ khuôn mặt.
- Người mất răng lâu năm: Gặp tình trạng tiêu xương hàm, má hóp hoặc các vấn đề thẩm mỹ và chức năng.
- Người đã sử dụng cầu răng sứ: Nay muốn chuyển sang Implant để đạt hiệu quả lâu dài và bảo tồn răng thật.
Sự thật thú vị
Không gây sâu răng
Vì implant là chất liệu nhân tạo, nó không thể bị sâu răng như răng tự nhiên. Tuy nhiên, vẫn cần chăm sóc vệ sinh miệng tốt để tránh bệnh nướu quanh implant.
Lợi ích trồng implant vài răng
- Dễ vệ sinh: Implant được chăm sóc như răng thật, giúp giữ gìn sức khỏe răng miệng.
- Thẩm mỹ cao: Thẩm mỹ cao: Răng trên Implant giống hệt răng thật, tăng tự tin và thoải mái khi giao tiếp.
- Phát âm tự nhiên: Khôi phục khả năng phát âm, hạn chế lỗi về phát âm do mất răng.
- Chức năng như răng thật: Ăn nhai thoải mái, cảm giác tự nhiên như răng thật.
Quy trình Thực Hiện cấy ghép Implant vài răng tại nha khoa KEN
CHI PHÍ Dịch Vụ Cấy Ghép Implant
| DANH MỤC | VND | ĐƠN VỊ |
| IMPLANT ĐƠN LẺ | ||
| Implant Hàn Quốc | 14.000.000 | răng |
| Implant Mỹ | 19.000.000 | răng |
| Implant Thụy Sĩ | 30.000.000 | răng |
Ưu đãi đặc biệt
- Giảm giá 10% cho khách hàng đặt lịch hẹn trực tuyến.
- Khám và tư vấn miễn phí lần đầu tiên.
- Gói trả góp lãi suất 0% cho các dịch vụ thẩm mỹ lớn.
Câu hỏi Thường gặp
- Khi nào cấy ghép implant toàn hàm và cầu răng sứ trên implant?
- Giải pháp đặt implant toàn hàm sẽ phụ hợp cho khi bạn mất nhiều, toàn bộ răng trên hàm hoặc các răng còn lại không thể phục hồi đề giữ lại và không đảm bảo cấu trúc chức năng ăn nhai. Làm cầu răng trên implant sẽ là giải pháp tối ưu khi bạn mất một vài răng liên tiếp và không muốn làm cầu răng truyền thống do phải mài răng kế cận.
Phản hồi khách hàng
“Không đau…chính xác là nó không đau, thật sự. Anh có tìm hiểu qua trồng răng implant rồi anh thấy bác sĩ làm nhanh chóng, không đau. Nha Khoa KEN cho anh trải nghiệm ok. Phòng ốc sạch sẽ hiện đại.“
Thành tâm
Khách hàng
4.98 Đánh giá từ khách hàng
Phản hồi khách hàng
“Trước khi làm chú cũng sợ đau. Mà khi cắm xong chú thấy không có đau gì hết. Nói vui là cắm xong chú ăn nhậu bình thường được luôn.”
Ngô Ngọc Khôi
Khách hàng
Bảng giá implant
Bảng giá niềng răng
Bảng giá nha khoa thẩm mỹ
Bảng giá nha khoa tổng quát
Bảng giá nha khoa trẻ em